بمناسبة عيد الحب: كيف تؤثر العلاقة الداعمة على ضغط الدم؟ ماذا يحدث للقلب أثناء العناق؟ وما هي متلازمة “تاكوتسوبو” متلازمة القلب المكسور؟
بالنسبة لعامة الناس، يُعدّ الرابع عشر من فبراير يومًا للورود والشوكولاتة، أما بالنسبة للعاملين في المجال الطبي فهو تذكير بأن القلب ليس مجرد مضخة بيولوجية فعّالة، بل عضو يستجيب ويتغيّر، بل وقد “ينكسر” نتيجة للمشاعر. فالعلم لا يترك مجالًا للشك: الحب، القرب والدعم العاطفي هي عوامل بيولوجية ذات تأثير قابل للقياس على جهاز القلب والأوعية الدموية.
هرمونات الأمان والارتباط
عندما نختبر علاقة عاطفية إيجابية، أو عناقًا، أو تلامسًا، أو شعورًا بالأمان مع الشريك/ة، يفرز الدماغ هرمونين أساسيين: الأوكسيتوسين (هرمون الارتباط) والدوبامين (هرمون المكافأة والمتعة).
توضح أريج طوباسي، أخصائية تكنولوجيا طبية لوائية في كلاليت, لواء حيفا والجليل الغربي، أن لهذه الهرمونات تأثيرات فسيولوجية مثبتة، تشمل توسّع الأوعية الدموية، انخفاض ضغط الدم، تباطؤ نبض القلب، وتقليل إفراز هرمونات التوتر مثل الكورتيزول. وتضيف: “تشير دراسات وبائية إلى أن الأشخاص الذين يعيشون في علاقات مستقرة وداعمة يتمتعون بمتوسطات أقل لضغط الدم، وباستقرار أكبر في تباين معدل ضربات القلب (HRV) . فالأمان العاطفي هو أيضًا أمان هيموديناميكي. العلاقة الداعمة تقلّل من التعرض المزمن لتنشيط محور الضغط (HPA) والنشاط الزائد للجهاز العصبي الودي”.
عندما “ينكسر” القلب فعلًا: متلازمة تاكوتسوبو
تشرح الدكتورة جُمّانة إسبنيولي أسعد، أخصائية أمراض القلب في المركز الطبي لين التابع لكلاليت – لواء حيفا والجليل الغربي، ظاهرة ازدادت نسبة انتشارها خلال العامين الأخيرين: “أوضح مثال على تأثير المشاعر في الجسد هو متلازمة تاكوتسوبو (Takotsubo cardiomyopathy)، المعروفة باسم ‘متلازمة القلب المكسور’. وهي حالة حادة وقابلة للعكس، تتمثل في ضعف مفاجئ في وظيفة البطين الأيسر للقلب، تحدث نتيجة ضغط نفسي شديد، كالفقدان، الانفصال، الخوف الشديد أو حتى الفرح المفاجئ”. وتشير إلى أن الخصائص الطبية لهذه الحالة تُشبه أعراض النوبة القلبية: “يصل المريض وهو يعاني من ألم في الصدر، ضيق في التنفس، تغيّرات في تخطيط القلب (تشبه احتشاءً حادًا – STEMI)، وارتفاع في إنزيمات القلب (التروبونين). وفي فحص الإيكو، يظهر نمط مميز يتمثل في توسّع وعدم انقباض قمة القلب (الأبكس)، ما يعطيها شكل بالون (Ballooning)”. وتضيف: “المفاجأة تظهر خلال القسطرة القلبية، إذ رغم الأعراض الدراماتيكية تكون الشرايين التاجية سليمة تمامًا. ويُرجّح أن السبب يعود إلى اندفاع مفاجئ ومفرط لهرمونات التوتر، مثل الأدرينالين، التي تؤثر مباشرة على عضلة القلب”.
وفي معظم الحالات، تُعد هذه الحالة قابلة للعكس، ومع الابتعاد عن مصدر التوتر، يستعيد القلب وظيفته الطبيعية تدريجيًا.
المتحدّث باسم كلاليت إيهاب حلبي
بالتعاون مع كلاليت
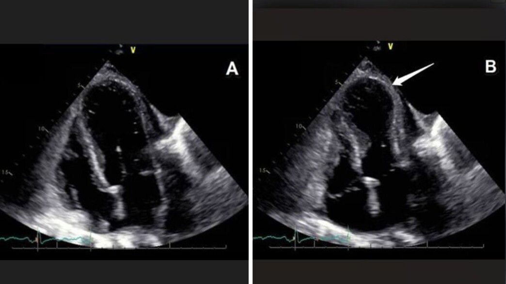
هكذا يبدو “القلب المكسور”:
في الصورة على اليسار نرى القلب في حالة الارتخاء (الانبساط – دياستول)،
أما في الصورة على اليمين فنرى القلب في حالة الانقباض (الانقباض – سيستول)، حيث ينقبض فقط الجزء القاعدي من القلب بينما يبقى الطرف (القمة) مرتخيًا، ما يمنحه مظهرًا يشبه البالون، دون أن ينقبض هو أيضًا، ولذلك تُسمّى هذه الظاهرة انتفاخ القمة (Apical Ballooning)

مصدر الصورة: مكتب المتحدث الرسمي باسم كلاليت – لواء حيفا والجليل الغربي.









